精致轻巧 性能迅捷
E2便携式彩色多普勒超声诊断系统
E2便携式彩色多普勒超声诊断系统采用专业的超声技术平台、高度集成化的硬件模块和结构设计、简便的操作流程、多探头接口设计,兼顾了优质图像、轻便机身以及台便两用的临床使用需求。
E2便携式彩色多普勒超声诊断系统
E2便携式彩色多普勒超声诊断系统采用专业的超声技术平台、高度集成化的硬件模块和结构设计、简便的操作流程、多探头接口设计,兼顾了优质图像、轻便机身以及台便两用的临床使用需求。
广告

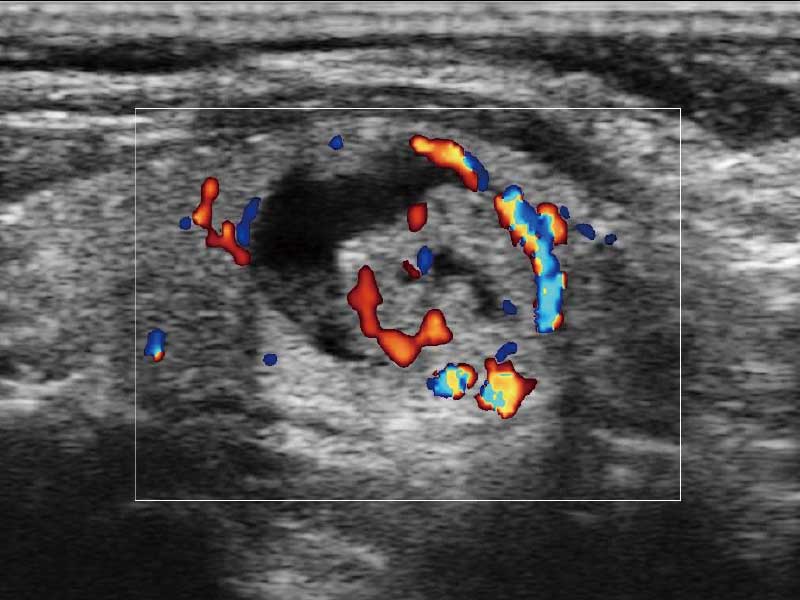
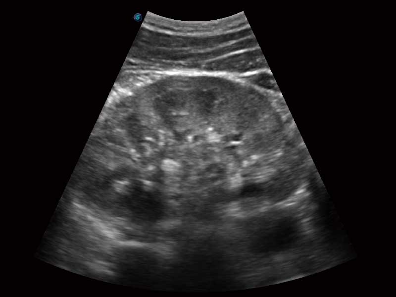
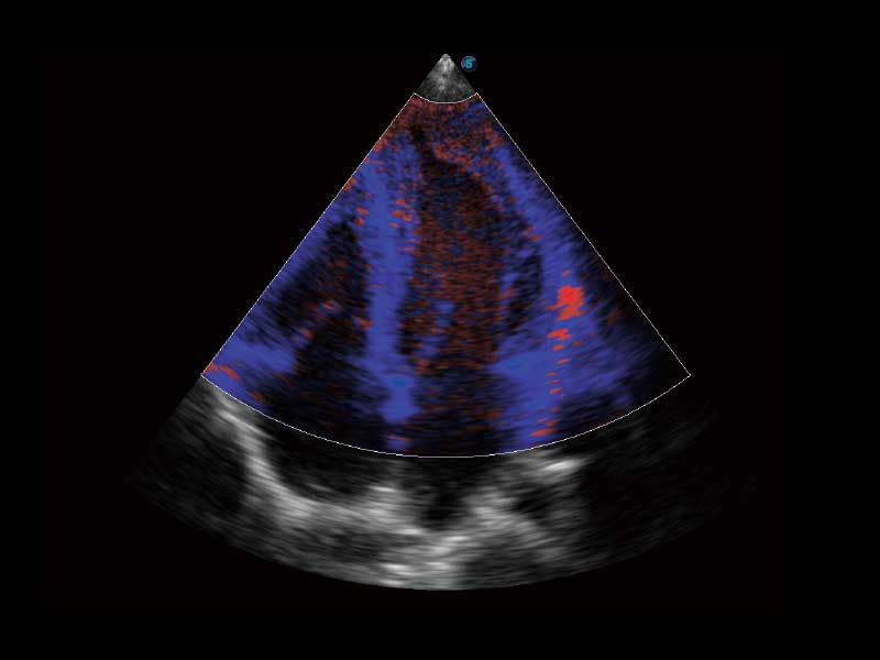
μ-Scan微米成像、空间复合成像、高分辨率血流成像。
高清液晶显示器、轻便机身、快速开/待机响应、专用台车。

单键操作,可快速优化多个二维及多普勒图像参数,获得优异图像效果。
PW自动包络分析,对血流动力学指数快速测量,自动生成结果,同时也支持可编辑的手动包络功能,对感兴趣区域进行单独分析,提高诊断准确率。
在实时扫查过程中,一键快速存储实时影像,无须冻结图像中断扫查。可存储长时间和大容量电影文件,提供更为精准的术中、急诊等临床应用。
禁忌内容或者注意事项详见说明书

微信公众号
0188-22223333
400-800-8820
版权所有 @新葡的京集团8814检测站 苏ICP备20008866
互联网电子信息服务资格证书[(苏)-非经营性-2002-0888